Studie odhaluje, proč se mozek „vypíná“, když jste vyčerpaní

Všichni jsme zažili intenzivní boj o pozornost po špatném nočním spánku – a nová studie ukazuje, co se děje v mozku, když se tento pocit objeví.
Když vypadnete po vytažení celonočního, mozek vypláchne mozkomíšního moku (CSF), který obklopuje mozek a míchu a je součástí mozku systém nakládání s odpady. Tento CSF se poté vyplaví zpět do mozku, když se z něj vytrhnete, podle studie zveřejněné 29. října v časopise Příroda Neuroscience.
„Měřením tolika různých druhů informací o mozku současně jsme byli schopni vidět, že těchto mnoho různých věcí, o kterých jsme si zpočátku mysleli, že jsou oddělené, se ve skutečnosti pohybují společně,“ spoluautor studie. Laura Lewisovádocent neurověd na MIT, řekl Live Science.
Spát je rozhodující pro udržení zdravého mozkua odborníci doporučují, aby dospělí dostali sedm až devět hodin zavřeného oka noc. Nedostatek spánku poškozuje duševní a fyzické zdraví člověka a také zhoršuje naši schopnost věnovat pozornost. „Nurální základ poruch pozornosti vyvolaných spánkovou deprivací však ještě není dobře pochopen,“ napsali autoři ve studii.
K vyšetřování přijali 26 zdravých dobrovolníků ve věku 19 až 40 let, z nichž 19 byly ženy. Všichni účastníci se zúčastnili dvou studijních podmínek s odstupem zhruba 10 dnů: dobře odpočatí a bez spánku. Polovina nejprve dokončila odpočinkovou relaci, zatímco ostatní začali s nedostatkem spánku.
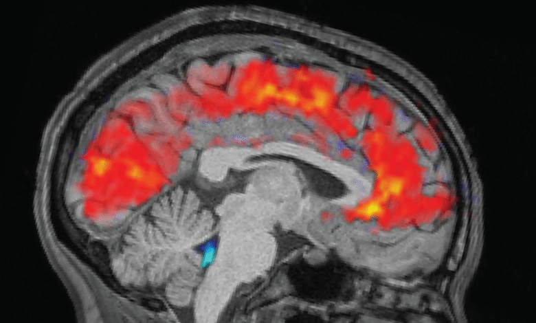
Odpočatí jedinci spali 6,5 až 9 hodin doma, zatímco nevyspalí jedinci byli v laboratoři udržováni vzhůru celou noc. Ráno před každým pokusem tým účastníkům připevnil elektroencefalogramové (EEG) čepice, aby pomocí elektrod zaznamenal jejich mozkové vlny. Současně účastníci podstoupili funkční MRI (fMRI) skenuje k odhalení vzorců v průtoku krve a CSF v mozku. Eye-trackery měřily velikost zornic účastníků.
To jsou věci, o kterých si obvykle nemyslíme, že jsou pevně uzamčeny v čase – vaše schopnost věnovat pozornost světu a poté základní pohyb tekutin v mozku.
Laura Lewis, MIT
Účastníci poté plnili úkoly, které napínaly jejich zrakovou a sluchovou pozornost; stiskli tlačítko, jakmile viděli obraz nebo slyšeli hluk. Kromě toho výzkumníci shromáždili údaje o základní mozkové aktivitě tím, že nechali účastníky odpočívat po dobu 25 minut, aniž by dělali nějaké úkoly.
Jak se očekávalo, účastníkům trvalo déle, než si všimli podnětů, když byli unavení, a častěji jim chyběla narážky, než když byli dobře odpočatí. Ale tým byl překvapen, když u vyčerpaných jedinců uviděl obří pulsy mozkomíšního moku spolu se vzorem pomalých mozkových vln – které jsou normálně pozorovány v non-REM spánku.
Konkrétně se vzory podobaly tomu, z něhož se člověk posouvá fáze N1 do N2první dvě ze tří fází non-REM spánku, které lidé zažívají každý spánek. „Bylo to něco, co jsme dříve v tomto měřítku viděli pouze během spánku,“ řekl Lewis.
Tok mozkomíšního moku úzce souvisel s velikostí zornice, s velkým vnitřním tokem po dilataci zornice a odtokem přicházejícím po zúžení zornice. Toto spojení bylo výraznější u jedinců se spánkem, což by mohlo naznačovat, že oběhový systém těla je základem tohoto spojení, napsali autoři. Toky CSF se také shodovaly s tím, kdy se jednotlivci během úkolů rozcházeli.
„Když selžete pozornost… vyplavuje se vám tato tekutina z mozku, a když znovu získáte pozornost, když znovu začnete reagovat na podněty, tato tekutina proudí zpět do mozku,“ uvedl první autor studie. Zinong Yangpočítačový neurovědec z MIT, řekl Live Science.
„To jsou věci, o kterých si obvykle nemyslíme, že jsou pevně uzamčeny v čase – vaše schopnost věnovat pozornost světu a pak základní pohyb tekutin v mozku,“ dodal Lewis.
Vědci se domnívají, že mozkové vzorce, které vidí, mohou odrážet, jak se mozek s nedostatkem spánku posouvá do stavu podobného spánku, ale zatímco je stále vzhůru. Výpadky pozornosti signalizují začátek těchto mozkových procesů podobných spánku, ale ty jsou přerušeny, než nastane správný spánek.
Ale prozatím není jasný funkční důvod obrovských posunů v průtoku krve, poznamenal Lewis. Budoucí práce by mohla prozkoumat, zda a jak tyto vzorce ovlivňují odstraňování toxického metabolického odpadu z mozku, napsali autoři.
Michael CheeŘeditel Centra pro spánek a poznání na Národní univerzitě v Singapuru, který se na studii nepodílel, uvedl, že výzkum je „působivým kusem fyziologické práce“. Myslí si, že autonomní nervový systémkterý řídí nevědomé tělesné funkce, řídí tyto signály.
„Myslím, že velká lekce je, že ‚Hej, podívejte se; tento skromný autonomní systém, kterému ve skutečnosti nevěnujeme pozornost, ve skutečnosti organizuje některé z největších změn signálu, změny zornice, změny signálu EEG, změny signálu BOLD (fMRI),“ řekl Live Science.
Chee však zdůraznil, že účastníci zažili 24hodinovou spánkovou deprivaci, zatímco většina lidí ztratí během špatné noci jen několik hodin spánku. „To je těžká manipulace,“ řekl, takže „jsou to příliš velké efekty.“
Studium těchto změn mozku u lidí s problémy se spánkem by mohlo ukázat na nové cíle léčby, dodal Chee.



