Deviated Septum: Proč je ohnutá nosní zeď běžnější, než si myslíte a kdy hledat léčbu

Deviated septum je jednou z nejčastějších, ale často přehlížených příčin chronické nosní obstrukce. V Indii specialisté poukazují na to, že zatímco téměř každý má mírný ohyb nosního septa, ne všichni vyžadují léčbu. Problém začíná, když tato odchylka výrazně zužuje dýchací cesty, narušuje dýchání a vede k řadě souvisejících zdravotních problémů.
Prevalence a příčiny
Prevalence odchylovaného nosního septa (DNS) v Indii se v Indii významně liší napříč studiemi, přičemž v některých populacích se uvedla uvedená sazba v rozmezí od přibližně 25% do více než 85%. Studie v regionech, jako je severovýchod, zjistily vysoké sazby, s jedním studie ukazující 85,5% z 966 CBCT skenů odhalující nějakou formu DNS. Prevalence také závisí na věkové skupině, přičemž incidence rostou u dětí, jak stárnou, a v některých studiích a u žen v jiných je častější u mužů, přičemž údaje, jako je 70% u mužů oproti 30% u žen.
Nosní septum je tenká stěna, která dělí levé a pravé nosní dírky. Podle chirurgů ENT má 80 až 90% lidí určitou formu odchylky. „Septum odchylka je docela běžná, ale množství odchylky je to, co určuje potíže,“ říká N. Ahilasamy, chirurg hlavy a krku, nemocnice Prashanth, Chennai.
Příčiny jsou rozmanité. Některé jsou přítomny od narození v důsledku genetických faktorů nebo menšího traumatu během porodu. Ostatní se vyskytují později, často z nepozorovaných poranění z dětství, sportovních nehod nebo kolizí silničního provozu. „Rodiny si nepamatují malé klepání, ale opouštějí ohyb,“ říká CRK Balaji, chirurg ENT, vs nemocnice, Chennai. S věkem se chrupavka ztuhne, což zvyšuje výraznější a symptomatičtější odchylky.

Příznaky a diagnóza
Většina lidí objevuje problém, když se jedna strana nosu cítí zablokována. „Hlavní věc, kterou pacienti říkají, je:“ Jedna strana mého nosu je vždy blokována, „vysvětluje Dr. Balaji. Spolu s obstrukcí mohou pacienti po dlouhém dni trvat bolest obličeje, opakované infekce sinusových infekcí, chrápání, nosebleed nebo bolesti hlavy.
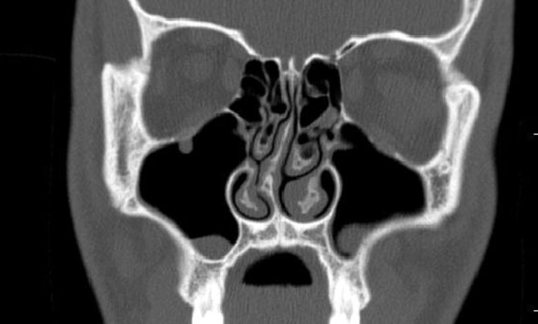
Pro diagnózu zůstává standardem klinické vyšetření. „Můžeme diagnostikovat ohyb pouhým vyšetřením a dále jej potvrdit buď endoskopickým vyšetřením nebo CT skenováním,“ říká Shruthi Sreekumar, přidružený konzultant, ENT, Rela Hospital, Chennai. V některých případech CT skenování paranazálních dutin pomáhá objasnit přidružené onemocnění.

Ošetření bariéry
Drobná odchylka může způsobit malé nepohodlí, ale závažná odchylka ovlivňuje kvalitu života a dlouhodobé zdraví. „Problémy se stávají.“ Když stupeň odchylky je označen, což způsobuje významné zúžení jedné z nosních nosníků, “říká Ammaiyappan Palaniswamy C., vedoucí konzultant, plicmologie, MGM malár, adyar, chennai. Infekce se opakují, protože blokované sinusy nedokážou odtékat, zatímco chronické dýchací ústa vedou k suchu, strašidelnému spánku.
Zatímco spánková apnoe je nejčastěji spojena s obezitou, septální odchylka může zhoršit dýchání a chrápání spánku. „Pokud se neléčí, může to přispět k obstrukční spánkové apnoe, nedodržení terapie CPAP a tvorbě sinonazálních polypů,“ dodává Dr. Sreekumar.
Jedinou nápravnou možností je chirurgie, známá jako septoplastika. Decongestanty a spreje dočasně usnadňují příznaky, ale nemohou narovnat zeď. Odborníci Doporučit chirurgii Když příznaky přetrvávají navzdory lékařskému řízení nebo když komplikace, jako je krvácení nebo Chronická sinusitida vzniknout.
Tradičně byla septoplastika vyhrazena pro dospělé, jakmile byl růst obličeje dokončen. „V dnešní době také působíme na mladé pacienty, a to i ve věku sedmi nebo osmi let, kdy téměř nedochází k nosnímu dýchání,“ říká Dr. Ahilasamy. Tyto případy jsou však výjimky a vyžadují pečlivé poradenství.
V Indii se přístup široce liší. V metropolitních centrech je endoskopická septoplastika rutinní a považována za bezpečné. V menších městech jsou služby ENT méně dostupné. „Výzvy jsou povědomí, strach z chirurgického zákroku a nákladů,“ vysvětluje K. Priya, senior konzultant, ENT, SRM Global Hospital Chennai. Ačkoli to není nákladné podle chirurgických standardů, finanční omezení a nedostatek povědomí o pojištění zůstávají překážkami.

Volejte pro lepší povědomí
Specialisté zdůrazňují potřebu, aby lidé měli přístup ke správným informacím. Běžným mýtem je, že chirurgie mění tvar nosu navenek, když ve skutečnosti septoplastika řeší pouze vnitřní stěnu. Ostatní věří Všechny odchylky vyžadují chirurgický zákrokcož není pravda. „Ne všichni jedinci se septálními odchylkami jsou symptomatičtí a ne všichni vyžadují chirurgickou léčbu,“ říká Dr. Priya.
Další mylnou představou je očekávání, že samotná chirurgický zákrok vyřeší každou nosní stížnost. „Většina případů s odchylkou má také alergie.
Odborníci ENT zdůrazňují, že povědomí je klíčové. Jak Priyanka Vignesh, senior konzultantka v SRM Global Hospitals, zdůrazňuje: „Mnoho lidí si myslí, že nosní blokování je většinou způsobeno alergiemi nebo nachlazeními a berou decongestantní kapky po celá léta, aniž by viděli lékaře.
Specialisté také varují, že jednostranný nosní blok, který často není bez povšimnutí nebo se přizpůsobí, může být nejčasnějším znakem odchylovaného septa vyžadujícího hodnocení.
Dr. Vignesh dodává: „Pro ty, kteří žijí s přetrvávající nosní obstrukcí, to neignorujte ani se s ním naučíte žít“. Konzultace s odborníky mohou přinést jasnost a v mnoha případech může včasný zásah zabránit roky nepohodlí a chránit dlouhodobé zdraví.
Publikováno – 10. září 2025 15:00



