Populární dieta keto spojená s intolerancí glukózy a mastnými játry u myší

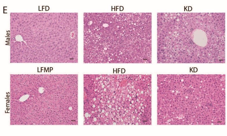
Reprezentativní obrazy od mužů (horní) a žen (dole) na stravě po dobu 28 a 33 týdnů. Měřítko, 20 μm. Kredit: Molly R. Gallop
Avokádový toast se smaženým sýrem jako chléb a cukety nudle v máslo-bakonové omáčce patří mezi mnoho nápadů receptů, které pohánějí milované vysoce tukové, nízkoakoumy ketogenní dietu na sociálních médiích. Vědci však zjistili, že zatímco Keto může vést k omezenému přírůstku hmotnosti a dokonce i hubnutí, činí tak za cenu metabolických problémů, jako je intolerance glukózy.
Ve společné studii University of Utah a Utah Diabetes and Metabolism Research Center, USA, vědci rozděleni myši do čtyř dietních skupin: Ketogenní strava (KD, 90% tuku), a Dieta s vysokým obsahem tuku (HFD, 60% tuku), nízký tuk (LFD) a nízkotučný mírný protein (LFMP), s různými hladinami uhlohydrátů a proteinů.
Myši byly ponechány volně jíst až 36 týdnů u mužů a 44 týdnů u žen. Výsledky testů ukázaly, že zatímco KD podporovala kontrolu hmotnosti, zvýšila také hladinu cholesterolu v krvi a u mužů vedla k mastným jaterním játkům.
Zjištění jsou Publikováno v Pokroky vědy.
Strava se nazývá „ketogenní“, protože posílá tělo do ketózy – metabolický stav, kde tělo spaluje tuk jako primární palivo místo obvyklých uhlohydrátů a v důsledku toho produkuje molekuly zvané ketonová těla. Strava není novým trendem potravin, existuje již téměř 100 let a je dobře zavedena pro léčbu epilepsie odolné proti drogám u dětí, v mnoha případech snížením záchvatů.
Přesný způsob, jakým KD pomáhá kontrolovat záchvaty, je stále nejasný, ale bylo navrženo několik nápadů. Některé studie naznačují, že KD se může stabilizovat Glukóza v krvi (BG), což je prospěšné pro metabolismus mozku a neurotransmiterovou aktivitu, zatímco jiní zdůrazňují antikonvulzivní účinky samotných ketonových těl.

Elektronové mikrofotografie pankreatických β buněk vykazujících golgi dilataci v KD. Kredit: Molly R. Gallop
Vzhledem k tomu, že ketogenní strava v posledních letech explodovala v popularitě, chtěli vědci této studie prozkoumat dlouhodobé metabolické účinky sledování stravy. Předchozí studie prozkoumaly tuto arénu, ale často uváděly smíšené nálezy nebo přímo porovnávaly KD s jinými stravami nebo odpovídaly za obě pohlaví.
Pro tuto studii vědci zahrnovali jak mužské i samice myší, a provedli pravidelné kontroly, aby posoudili dlouhodobé účinky KD na zdravotní parametry, včetně složení těla, zdraví orgánů a profilu krve.
Zjistili, že KD chránil proti nadměrnému přírůstku hmotnosti ve srovnání s konvenční dietou s vysokým obsahem tuku, ale získal větší váhu než nízkotučné stravy. Dlouhodobá KD způsobila těžkou hyperlipidemii, což znamená, že v krvi byly velmi vysoké hladiny tuku.
Myši krmené KD vyvinuly těžkou intoleranci glukózy, protože strava způsobila vážné poškození sekrece inzulínu z břišní. Zatímco samice myší na KD vypadaly dobře, mužské vykazovaly známky dysfunkce jater a mastných jater.
Zjištění ukázala, že dlouhodobý KD může vyvolat několik metabolických poruch a přinést opatrnost proti jeho rozšířenému použití jako stravy podporující zdraví.
Vědci poznamenávají, že k prozkoumání, jak změny ve složení tuku a poměrů makronutrientů ovlivňují metabolické účinky, jsou zapotřebí další studie. To je obzvláště důležité pro to, aby byla ketogenní strava bezpečnější pro lidi, kteří se na ni spoléhají k léčbě epilepsie.
Napsal pro vás náš autor Sanjukta Mondaleditoval Sadie Harleya skutečnost zkontrolovali a přezkoumali Robert Egan– Tento článek je výsledkem pečlivé lidské práce. Spoléháme se na čtenáře, jako jste vy, aby udrželi nezávislou vědeckou žurnalistiku naživu. Pokud vám toto hlášení záleží, zvažte a dar (zejména měsíčně). Dostanete bez reklamy účet jako poděkování.
Více informací:
Molly R. Gallop a kol., Dlouhodobá ketogenní strava způsobuje hyperlipidemii, dysfunkci jater a intoleranci glukózy ze zhoršené sekrece inzulínu u myší, Pokroky vědy (2025). Dva: 10.1126/sciadv.adx2752
© 2025 Science X Network
Citace: Populární dieta keto spojená s intolerancí glukózy a mastnými játry u myší (2025, 23. září) získaná 23. září 2025 z https://medicalxpress.com/news/2025-09-popular-keto-diet-linked-glucose.html
Tento dokument podléhá autorským právům. Kromě jakéhokoli spravedlivého jednání za účelem soukromého studia nebo výzkumu nemůže být žádná část bez písemného povolení reprodukována. Obsah je poskytován pouze pro informační účely.



