zdraví

Strukturální změny mozku spojené s chronickou PTSD u respondentů Světového obchodního centra

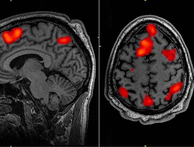
Nový výzkum mezi respondenty Světového obchodního centra (WTC) s chronickou posttraumatickou stresovou poruchou (PTSD) odhalil měřitelné fyzické změny ve struktuře jejich mozku, v souladu se změnami v rovnováze myelinizovaných a nemyelinizovaných neuronů (rychle a pomalu vodivé nervové buňky) napříč oběma hemisférami mozku. Tyto změny byly nejsilněji spojeny s opětovným prožíváním symptomů u jedinců s PTSD. Kortikální rozdíly nalezené v této sofistikované zobrazovací studii v Biologická psychiatrie: kognitivní neurověda a neurozobrazovánípublikoval Elsevier, mohou sloužit jako náhradní biomarkery pro narušené zdraví mozku u lidí trpících chronickou PTSD, stejně jako potenciálně informující o strategiích časného screeningu.

Po zhroucení WTC zažilo mnoho lidí vážné trauma a 23 % respondentů WTC vyvinulo PTSD. To je částečně prožíváno jako nekontrolované rušivé vzpomínky na traumatické události spojené se spouštěcími událostmi, spojené se zvýšenou reaktivitou na stres a hyper-uvědoměním okolí.

Šéfredaktor of Biologický Psychiatrie: Kognitivní neurověda a neuroimaging Cameron S. Carter, MD, University of California Irvine School of Medicine, poznamenává: „Zatímco předchozí studie poskytují vodítka o úloze neurologických změn v PTSD, dosud nebyla důležitost kortikální mikrostruktury a role kortikální myelinizace dobře pochopena.“

Tato studie používala neuroimaging šedo-bílý kontrast (GWC), což je technika založená na MRI, která má zlepšit studie neuronálního zdraví u traumatizovaných jedinců. GWC funguje jako proxy pro hustotu intrakortikální myelinizace a zkoumá zjevné rozostření na rozhraní bílé hmoty a šedé hmoty na základě rozdílů v intenzitě signálu. Zvýšení kontrastu představuje ostřejší hranici, svědčící o zdravém přechodu od šedé hmoty k bílé mozkové hmotě. Méně zřetelná hranice (nízká GWC) naznačuje abnormální koncentraci myelinu (tuková izolační vrstva), což ukazuje na narušení rychlosti zpracování a konzistence mozku.

Byli jsme schopni určit směr a místo změny změnou hloubky, kde byly signály vzorkovány. Existuje jen málo věcí, které mohou změnit signál šedé hmoty, takže věříme, že toto zjištění může odrážet změny v koncentraci myelinizovaných neuronů v šedé hmotě. Poté jsme porovnali GWC s jinými měřeními kortikálního zdraví dříve spojenými s PTSD související s WTC.“

Sean AP Clouston, PhD, vedoucí výzkumník, profesor v programu veřejného zdraví a Katedra rodiny, populace a preventivního lékařství, Renaissance School of Medicine (RSOM), Stony Brook University

Při vyhodnocování strukturálních snímků mozku u 99 respondentů WTC výzkumníci našli důkazy o rozsáhlých změnách v GWC v kortikální šedé hmotě napříč oběma hemisférami mozku u lidí s PTSD. Snížení GWC by mohlo znamenat, že v těchto oblastech je více obsahu myelinu, než je normální u pacientů s traumatem bez PTSD. Zjistili také, že GWC lze kombinovat s dalšími markery intrakortikálního zdraví, aby se zlepšila schopnost pomoci objektivně identifikovat WTC respondéry s PTSD.

V současné době neexistují žádné objektivní metody, které by potvrdily, zda osoba uvádějící příznaky PTSD může mít poruchu, ani zda se jedná o jeden stav z více možných stavů. Příznaky se mohou také lišit mezi jednotlivci. Měření kontrastu GWC by mohlo pomoci zlepšit diagnostiku, zejména v kombinaci s jinými diagnostickými metodami.

„Biologické testy na PTSD unikaly výzkumníkům po mnoho let, ale naše studie ukazuje, že moderní analytické metody mohou začít odhalovat mozkové podpisy této poruchy,“ poznamenává spoluřešitel Roman Kotov, PhD, profesor na katedře psychiatrie a behaviorálního zdraví v RSOM.

Vyšetřovatelé byli překvapeni, že zjistili rozšířenou dysfunkci ve velké části mozku. Tyto výsledky mají také důležité důsledky pro zdraví mozku u jedinců s chronickou PTSD, protože interneurony usnadňují koordinované myšlení napříč symptomy. Jedinci s interneuronálními změnami často zažívají změny fyzického fungování, které mohou vést k pohybovým problémům a invaliditě.

Spoluřešitel Benjamin Luft, MD, ředitel programu zdraví a wellness Světového obchodního centra ve Stony Brook Medicine a profesor na katedře medicíny na RSOM, uzavírá: „Naše studie, rozšiřující se o vodítka z jiných studií, ukazuje, že PTSD je spojena s měřitelnými fyzickými změnami ve struktuře mozku a nabízí biologické důkazy, že trauma mění neurální diagnostiku. Tato zjištění ukazují na nové přístupy.“

Zdroj:

Odkaz na deník:

Zhou, JW, a kol. (2025). Snížený šedo-bílý kontrast u chronické posttraumatické stresové poruchy u respondentů ze Světového obchodního centra. Biologická psychiatrie: kognitivní neurověda a neurozobrazovánídoi:10,1016/j,bpsc,2025,10,018, https://www.biologicalpsychiatrycnni.org/article/S2451-9022(25)00333-7/fulltext

Zdrojový odkaz

Related Articles

Back to top button